Dentures
don’t
have to be
forever.
Our LeClerq-Martinez Bridge is a screw-retained, implant-supported restoration — perfected in Paris, delivered in Aurora — at half what European clinics charge.
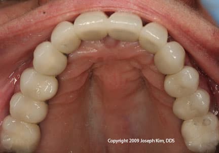
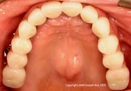
The LeClerq-Martinez Implant Bridge.
Perfected by Dr. Philippe LeClerq of Paris and his master technician Jean-François Martinez. Delivered in Aurora at less than half what European clinics charge — with a 3-year limited warranty included.
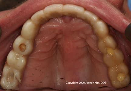
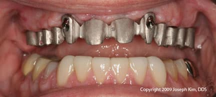
- Screw-retained frameworkSuperior stability across 6–10 implants.
- Individual crown repairAny competent dentist can replace a single crown — no bridge removal.
- Less tissue shrinkageMore implants means bone and gum loss is less of an aesthetic problem.
- Natural feelNo bulky plastic toward the roof of your mouth.
- Maximum longevityA rigid titanium frame connects all implants for lasting results.
European clinics list the LM Bridge at $50,000+ per arch. We deliver the same restoration at less than half — because our implant laboratory is in-house.
- —What if one of those four implants fails?
- —What if a tooth chips or breaks?
- —What happens when bone and gum shrink dramatically over time?
- —What do patients wear while their bridge is being repaired?
The LM Bridge answers every one of these.
Eighteen years of eating around food.
Every case below is a real Halcyon patient. Final photos are taken at the delivery appointment — no filters, no retouching.
A few minutes with the people who've been through it.
These are unedited conversations with patients — on their first meal out, on going back to work, on what they wish they'd done sooner.
Ask anything. We’ll answer plainly.
Cost, timelines, financing, what happens if something chips in year three — ask whatever’s keeping you up. The assistant pulls from our real treatment notes. For anything specific to your case, the consultation is free.
- →What a full-arch case actually costs, line by line.
- →Healing timeline and what temporaries look like.
- →Financing options — and what each approval looks like.
- →How the LM Bridge compares to 4-implant hybrids.
Questions we get asked every week.
Pay monthly, not all at once.
Approval usually takes under 60 seconds and won’t ding your credit. Below is a typical range for an $8,700 per-arch LM Bridge.
1940 W Galena Blvd #11,
Aurora, IL 60506.
Tue · 8am–5pm
Thu · 8am–5pm









